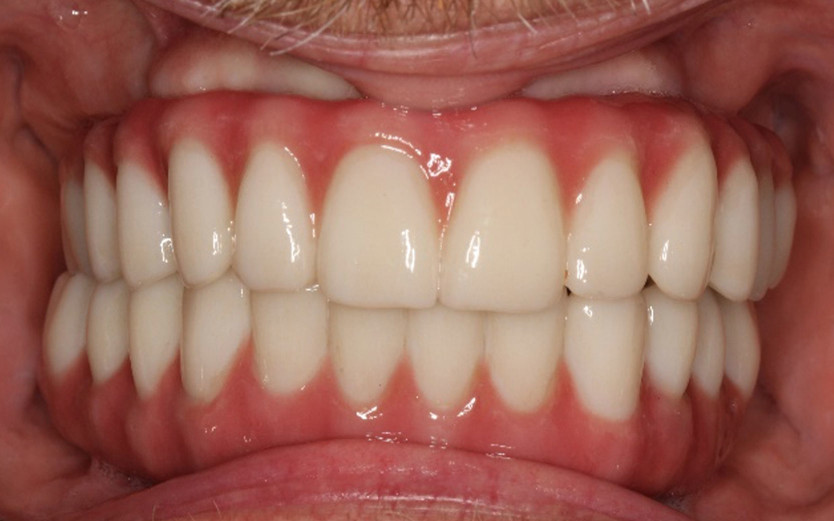
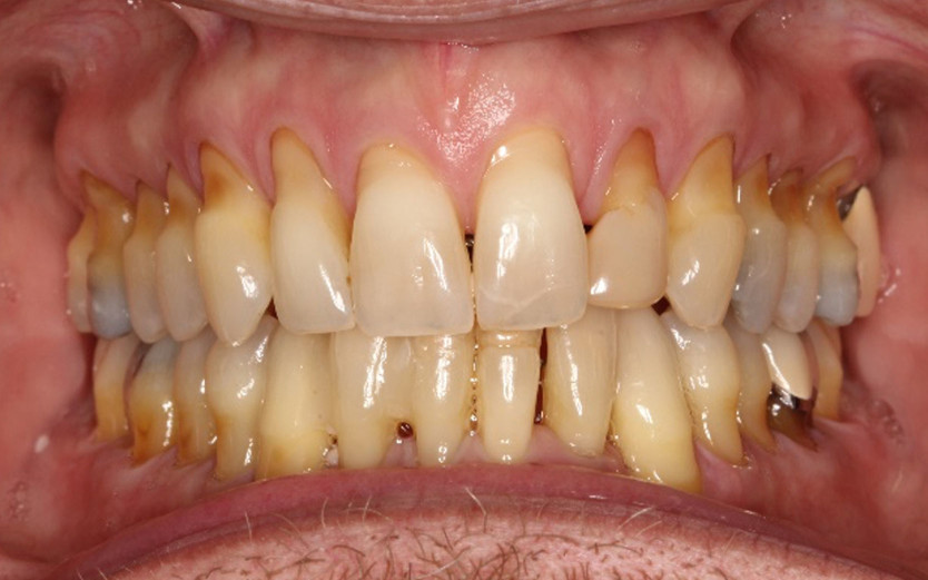
Please confirm all required elements are included before shipping. Any missing info could result in delays with your case.
Screw-Retained Diagnostic Wax-Up (3+ New Cylinders)
Verified Master Model (w/ Undamaged Analogs)
Opposing Cast (To Verify Occlusion, Send Bite)
Signed & Completed Order Form